Word jij ’s ochtends wakker met zere kaken, wondjes aan de binnenkant van je wangen en hoofdpijn? Of mist er zelfs een stukje van je tand of kies? Dan is de kans groot dat jij last hebt van bruxisme, een ander woord voor tandenknarsen en tandenklemmen. Hoe komt dit en wat kun je er tegen doen?
Symptomen
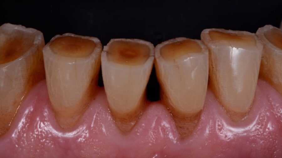
Naast de hierboven genoemde symptomen zijn er nog meer signalen die erop kunnen wijzen dat jij daadwerkelijk tandenknarst. Je tandarts heeft het misschien al wel geconstateerd; schade aan het gebit zoals afgebroken of gebarsten tanden, aangetast tandglazuur en vlakke kiesoppervlakken zijn namelijk veelvoorkomend. Dit geldt voor ruim een half miljoen Nederlanders. Door het tandenknarsen wordt je gebit bovendien gevoeliger. Dit is iets wat je in principe alleen zelf doorhebt, maar het kan ook onopgemerkt blijven omdat het langzaam maar zeker erger wordt. Wellicht is je partner ’s nachts ook al iets opgevallen?
Oorzaken
Over de oorzaken van bruxisme tasten dokters en onderzoekers voor een deel nog in het duister. Wel is bekend dat het tandenknarsen en -klemmen regelmatig samen gaat met een bepaalde slaapstoornis, zoals de ziekte van Huntington, Parkinson of slaapapneu. Er is ook een verband gevonden met alcohol, roken en drugs. Slik je al enige tijd een medicijn en heb je sindsdien last van tandenknarsen? Dit zou een bijwerking kunnen zijn. Overleg met de dokter of er een alternatief is. Daarnaast komt het vaak voor dat mensen met bruxisme relatief veel stress hebben. Zij voelen zich gespannen, agressief of angstig. Die stress dringt dus door tot je nachtrust.

Tips
Stappen ondernemen om stress te verminderen en stoppen met roken en drinken zal daarom op de lange termijn ook moeten zorgen voor minder tandengeknars. Verwacht niet dat je problemen zich van de ene op de andere dag oplossen. Toch zijn er ook dingen die je op korte termijn kunt veranderen. Probeer voordat je gaat slapen eens alle spieren in je gezicht te ontspannen. Het belangrijkste zijn je kaken en je mond. Je kaken kun je met een simpele methode masseren door met je vingertoppen vlak bij je oren ronddraaiende bewegingen te maken. Je merkt misschien direct een verschil. Let er dan overdag ook eens op of je je kaken soms onbewust en onnodig aanspant en op elkaar houdt. Om nieuwe slijtage aan je gebit te voorkomen zijn er speciale knarsbitjes. Hiervoor kun je het beste langs de tandarts gaan.

Welke tandenknarsende vriend(in) kan deze tips goed gebruiken?
Smulderstextiel.nl heeft op het gebied van beddengoed alles om jouw nacht zo ontspannen mogelijk te maken!




